Cabinet du Docteur Virginie LIOTARD
Orthodontiste Spécialiste à Livron sur Drôme (26)
Cabinet du Docteur Virginie LIOTARD

22 rue Docteur l'Hermier
26250 Livron sur Drôme

Orthodontiste Spécialiste à Livron sur Drôme (26)

Vidéos 3D - Page 5

Frénectomie labiale

Frénectomie labiale

Le quad helix : traitement du palais et de l’alignement des dents

Le quad helix : traitement du palais et de l’alignement des dents

Orthodontie : la traction d'une canine palatine incluse

Orthodontie : la traction d'une canine palatine incluse

Votre expérience des traitements : 20 ans d'évolution

Votre expérience des traitements : 20 ans d'évolution

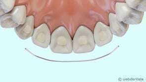
Fil de contention

Fil de contention

Affichage des articles 37-41 sur 41

Création par Webdentiste

Connexion

Bouton Flottant Prendre rendez-vous